OUR HISTORY
Osteopore (OSX) is a Singapore headquartered corporation strategically poised to be a leading medical device company in the region.
We are involved in designing, developing and marketing bioresorbable polymer implants for neurosurgical, orthopedic, and maxillofacial surgery use.
OSX proprietary technologies allow for the development of biostructures which are synthetic biologically active tissue engineered products for the restoration of the human skeleton.
Clinical trials for the tissue engineered product, which works by providing a scaffold for the patient’s own bone cells to be regenerated, have been successful.
1992
First commercial 3D printing based on filament is commecialised by Stratasys Inc. It was called rapid prototyping.

1996
On receiving news that Prof. Charles Vacanti was able to grow a ear on the back of a mouse, our founders embark on tissue engineering research and development.

1996
Inventors from National University of Singapore, National University Hospital and Temasek Polytechnic initiated research to identify the bioresorbable material, microarchitecture and manufacturing technique.

2002
First-in-human procedure with Osteopore technology. Osteopore (OSX)’s implant carried out in a top hat configuration as a burr hole cover.

2003
After the success of the first-in-human procedure for burr hole cover in 2002 and six years working on the technology, the team founded the company, Osteopore (OSX) International Pte Ltd.

2006
Prospective randomized clinical trial with Osteomesh for orbital floor reconstruction successfully completed.

2006
The first-in-human reconstruction for craniosynostosis with Osteomesh. Researchers estimate that about 1 in every 2,500 babies is born with craniosynostosis in the United States.

2006
The Osteopore (OSX) technology for craniofacial application received the US FDA 510(k) clearance. Osteopore started expanding to the US market.

2007
First-in-human 3D printed patient specific implant with polycaprolactone-tricalcium phosphate (PCL-TCP) microarchitecture for mandibular reconstruction.

2007
Osteopore (OSX) manufacturing for craniofacial application received ISO 13485 certification.

2008
First-in-human patient specific implant with Osteoplug (plug and strip configuration) for craniotomy.

2009
In 2009, Osteoplug and Osteomesh were CE approved for cranial burr hole cover and orbital floor reconstruction respectively.

2009
First-in-human patient specific implant with PCL-TCP for cranioplasty.

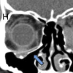
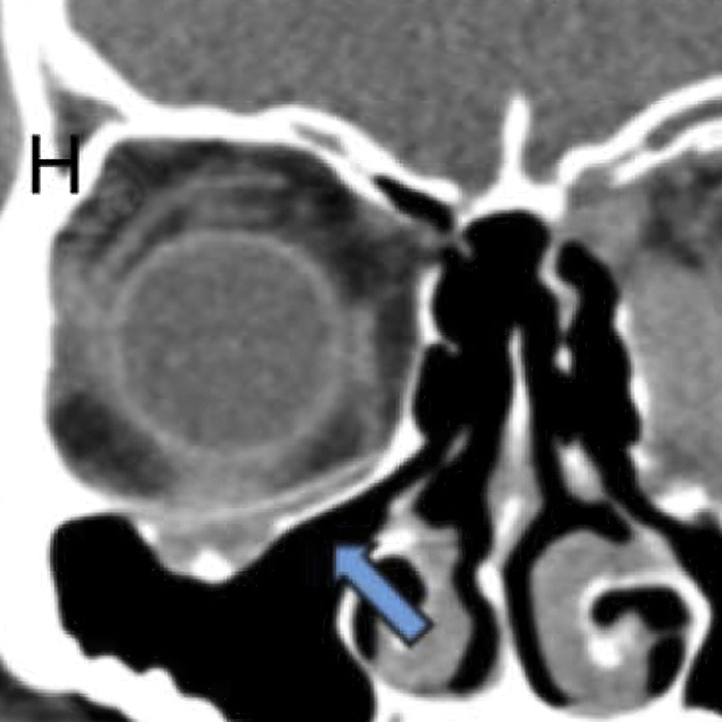
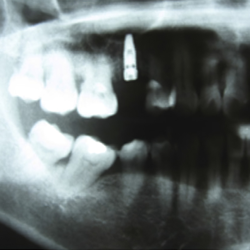
2015
Osteopore (OSX) completed the first clinical trial for socket preservation in dental surgery.

2016
Osteopore (OSX) moved to a purpose-built medical technology hub, JTC MedTech Hub, to expand their production capabilities.

2017
Longest tibia reconstruction with Osteopore (OSX) regenerative implant performed by Dr Michael Wagels and team at the Princess Alexandra Hospital, Brisbane, Australia. 3-year post-operation results shows tibia bone successfully regenerated.

2017
First-in-human for skull base with Osteomesh.

2017
First-in-human rhinoplasty with Osteomesh.

2018
First mandible reconstruction with Osteomesh shaped tray to hold autologous bone grafts. Bony ingrowth and remodeling observed at 2 and 5 months postoperatively.

2019
First customized Osteopore (OSX) implant for orbital floor reconstruction.

2019
Osteopore IPO on the Australian Securities Exchange took place on 23 September 2019.

2020
The first in-human for mandible reconstruction took place.

2021
Osteopore (OSX) secures A$19M clinical-industrial partnership.

2022
Osteopore (OSX) achieves milestone of 80,000 implants across all major continents.
























